치아미백 | 이미지치과 :: 대구임플란트 안아픈치과, 잘하는치과

치아미백

본문 바로가기

이미지치과 치아미백. Bright, But Right. 이미지치과는 무작정 밝히지 않습니다. 치아 컨디션에 맞춘 미백 설계로 당신에게 가장 자연스러운 톤을 완성합니다.
모든 치아가 같은 방식으로 밝아지지는 않습니다. 이미지치과는 미백 전, 다음 항목을 꼼꼼하게 확인합니다. 착색 원인 커피, 흡연, 노화, 약물 등. 치아 균열, 마모, 시림 위험. 잇몸 상태와 염증 여부. 기존 보철물 유무 레진, 크라운 등. 환자분이 원하는 톤 자연 톤 vs 화이트 톤
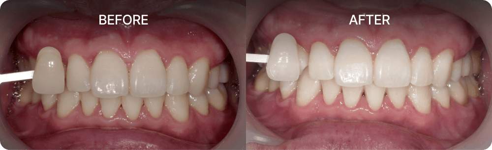
이미지치과 치아미백 이런 분들께 권합니다. 1.치아 색 때문에 인상이 칙칙해 보이는 분, 2.커피·흡연으로 착색이 신경 쓰이는 분, 3.과하지 않고 자연스러운 미백을 원하시는 분, 4.처음 미백을 고민하며 불안이 있는 분
이런 경우엔 먼저 상의가 필요합니다. 1.치아 시림이 심한 경우, 2.잇몸 염증이나 통증이 있는 경우, 3.치아 균열이나 마모가 있는 경우
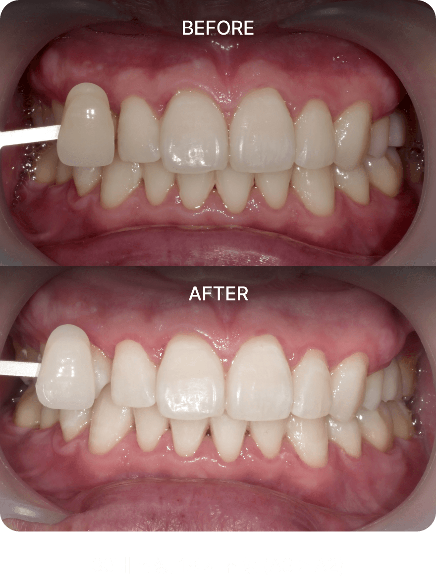
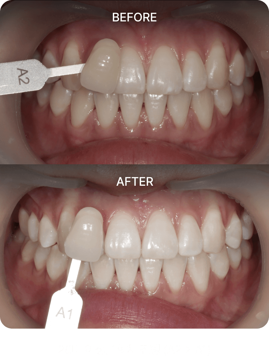
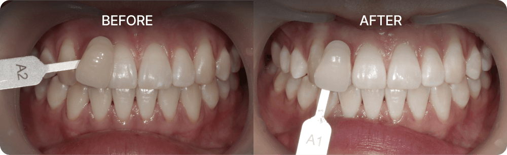
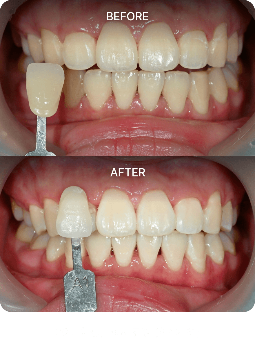
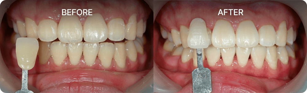
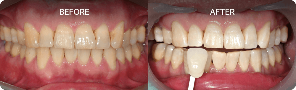
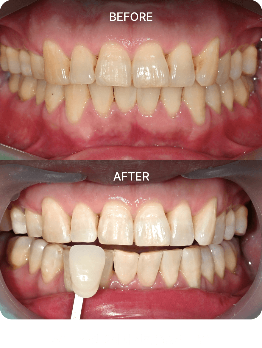
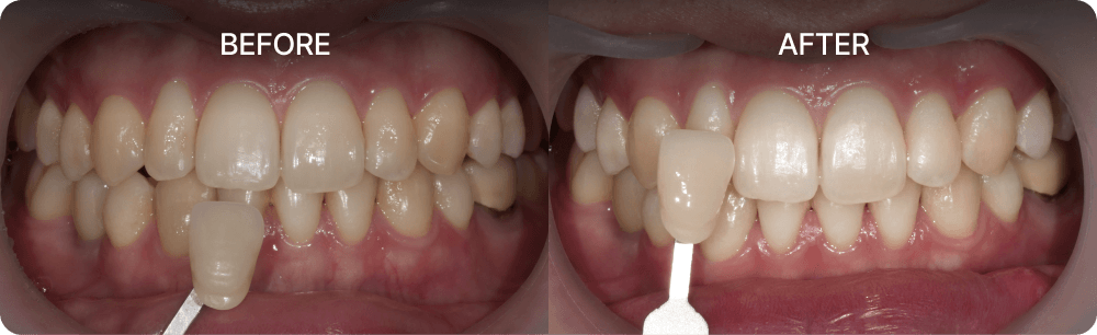
STEP1 치아톤 측정. STEP 02 시림가능성, 유지 등 생활습관 안내. STEP 03 나에게 맞는 미백 방식 선택 속도. 강도. 횟수. 환자분의 일정과 생활습관에 맞는 방식을 이해한 뒤 선택하실 수 있도록, 서두르지 않습니다. 치아미백 과정 01. 이미지치과는 꼼꼼한 진료와 충분한 상담으로 치아미백을 시작합니다. 현재 치아 톤을 측정하고 목표로 하는 밝기를 함께 정한 뒤 시림 가능성과 유지 기간을 충분히 안내합니다.
치아미백 과정 02. 고농도의 미백제를 도포해 특수광선을 조사해주는 방식으로 치료하며, 원하는 치아 밝기가 될 때까지 미백을 반복합니다. 1-3회, 치아 색에 따라 조정 치아상태 진단, 미백제도포, 특수광선 조사 치아색 자가진단 대조표. 치아색을 직접 확인하고 치아미백을 결정해 보세요.

늘 예약이 물밀듯이 들어오는 이미지치과
초과 수요로 인한 예약 마감을 주의하세요.

분야별 전문의가 빠르게 상담을 도와드리겠습니다.

빠른상담 신청하기

분야별 전문의가 상담을 도와드리겠습니다

이름

휴대폰

상담 내용

개인정보 취급방침동의

더이상 미루지 말고, 빠른 상담 예약하기 ›