라미네이트 | 이미지치과 :: 대구임플란트 안아픈치과, 잘하는치과

라미네이트

본문 바로가기

이미지치과 라미네이트, 이미지네이트. 라미네이트, 감으로 결정하지 마세요. 숙련된 의료진의 분석과 진단 자체 설비로 구현하는 당일 트라이인 시스템 먼저 보고, 원하는 만큼 조율합니다. 확신 없는 완성은 없습니다.
12,156명, 2026. 02. 28일 기준
1만명이 선택한 경험 위에서 시작합니다. 이미지치과는 1만명 이상의 환자분들이 다녀간 치과입니다. 다양한 치아 상태, 다양한 기대와 걱정을 마주해왔습니다. 결과로 증명해온 시간. 경험이 쌓일수록 설계는 더 정교해집니다.
이미지네이트는 이런 분들께, “기대가 되지만 동시에 걱정됩니다.” “되돌릴 수 없을까 봐 망설여집니다.” 이미지 이미지네이트는 그 마음을 모른 척하지 않습니다. 충분히 설명하고, 미리 확인하고, 신중히 결정하도록 돕는 것. 이 모든 과정이 이미지네이트 입니다.
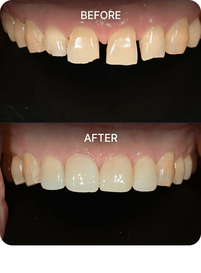
이런 고민, 있으셨죠? 찬물만 마셔도 시린 치아 미소를 무너뜨리는 치아의 틈 미백으로 안되는 치아얼룩 삐뚤빼뚤 못생긴 치아. 건강한 치아 삭제없이 자연스러운 치아복원 솔루션 ʻ이미지네이트’
찬물만 마셔도 시린 치아, 미소를 무너뜨리는 치아의 틈, 미백으로 안되는 치아얼룩, 삐뚤빼뚤 못생긴 치아
  • 사전진단 이미지, 구강건강 사전체크, 치아배열, 색상, 형태 점검
  • 트라이인(Tryin), 실제 장착이 가능한 가상보철로 1시간내 제작
  • 전체 진단, 가상보철 장착 후 전체진단 계획, 비니어 제작 (4시간)
  • 라미네이트 접착, 비니어 착용 및 접착, 최종점검 및 안내
이미지네이트의 차이 완성 전에 직접 확인합니다. 라미네이트 환자분이 가장 불안해하는 질문, “해보고 나서 마음에 안 들면 어떡하죠?” 이미지치과는 실제 라미네이트를 제작하기 전, 1시간 이내에 트라이인을 만들어 직접 착용해보고 선택할 수 있도록 합니다. 웃을 때 모습, 말할 때 보이는 느낌,나에게 어울리는지 보고, 느끼고, 결정하세요.

늘 예약이 물밀듯이 들어오는 이미지치과
초과 수요로 인한 예약 마감을 주의하세요.

분야별 전문의가 빠르게 상담을 도와드리겠습니다.

빠른상담 신청하기

분야별 전문의가 상담을 도와드리겠습니다

이름

휴대폰

상담 내용

개인정보 취급방침동의

더이상 미루지 말고, 빠른 상담 예약하기 ›